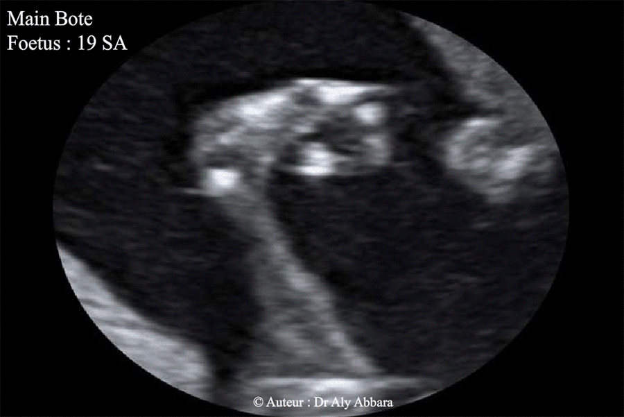
Mains botes - foetus de 19 SA - Trisomie 18

Mains botes - foetus de 19 SA - Trisomie 18 - Images cliniques

Main bote faisant partie d'un syndrome polymarformatif : Trisomie 18
Fœtus âgé de 19 SA.

On observe aussi que le majeur et l'annulaire sont plus fléchis que l'index et l'auriculaire, avec la flexion accentuée du pouce vers la face palmaire de la main ; il s'agit d'une forme mineure de la main crispée ; signe retrouvé dans 50 % des cas de trisomie 18.

Main bote :
(main émoussée, arrondie : la main est repliée en permanence sur l'avant-bras donne à l'extrémité de ce dernier un aspect arrondi).
Il s'agit d'une anomalie congénitale du positionnement et de l'attitude de la main sur l'avant-bras.

Il existe deux types de mains botes :
  • Main bote cubitopalmaire (manus valga) :
    une inclinaison cubitale de la main avec flexion palmaire. Elle est due :
    • soit l'agénésie de la partie inférieure du cubitus ;
    • soit à une brièveté des muscles fléchisseurs.
    • Elle s'accompagne parfois d'aplasie du nerf cubital.

  • Main bote radiopalmaire (manus vara) :
    bascule de la main en flexion palmaire et en inclinaison radiale avec incurvation du cubitus (une concavité du côté radial). Cette anomalie est due à une aplasie totale ou partielle du radius ; elle est souvent associée à une aplasie du nerf radial et à une absence de la pouce.

Auteur : Dr Aly Abbara
Mise à jour : le 22 Décembre, 2020

www.aly-abbara.com
Paris / France